芦屋エリア以外からも多数ご来院
当院のミニッシュ 症例
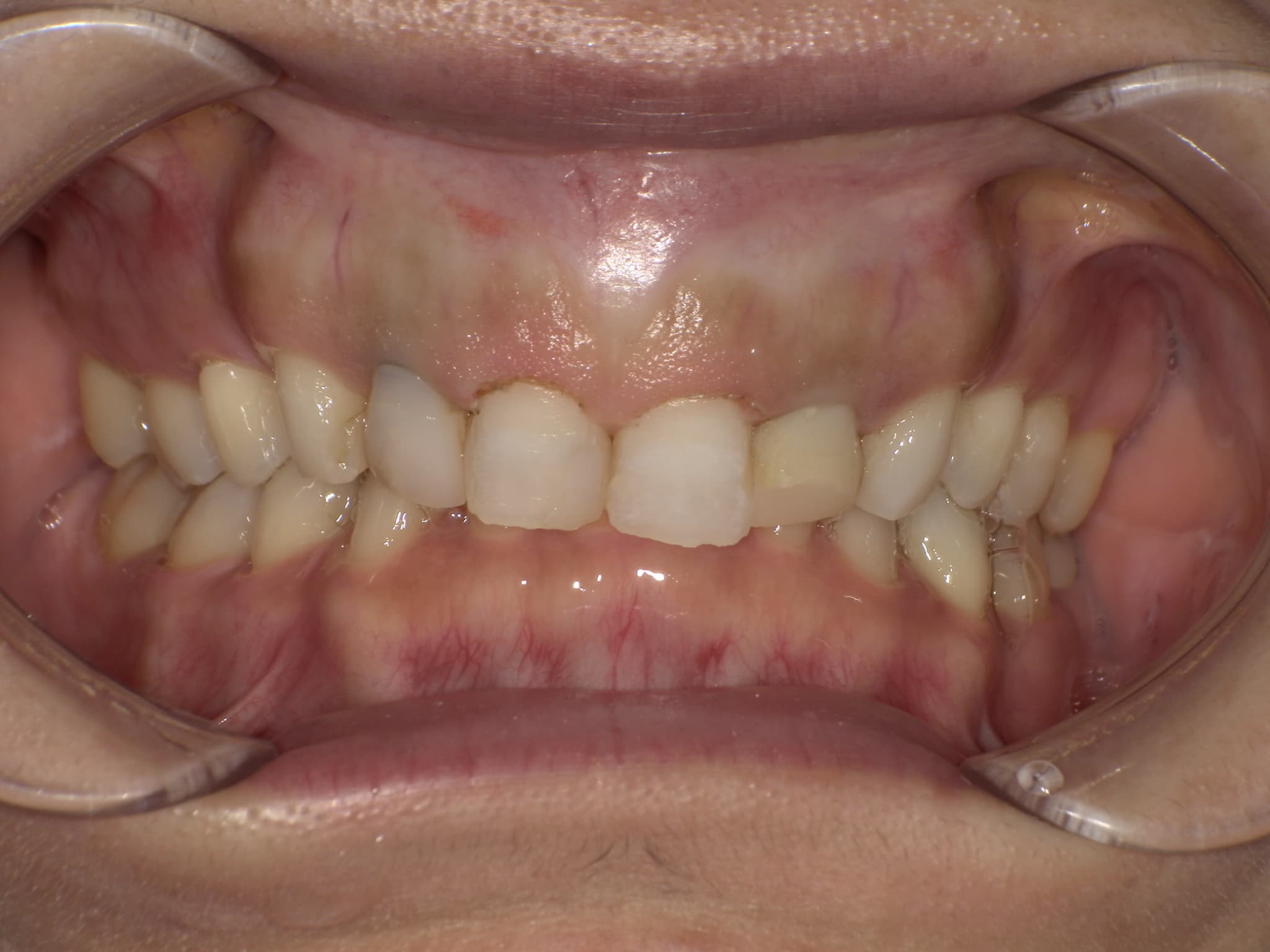
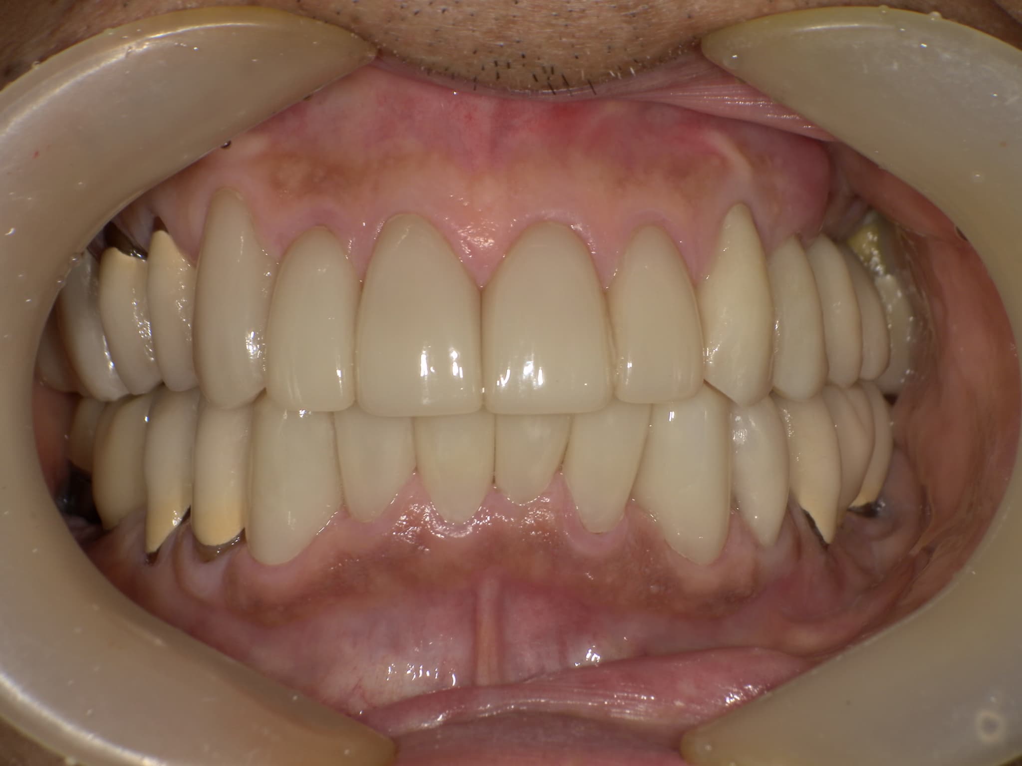
前歯の色が気になる方
| 術名 | 上下前歯のセラミック治療 |
|---|---|
| 年齢/性別 | 60代/男性 |
| 主訴 | 前歯の色が気になる |
| 診断名 | 審美障害 |
| 治療内容 | セラミック治療(ミニッシュ) |
| 治療期間 | 6回(2か月) |
| 費用 | 138.6万円(税込、モニター価格) |
| リスク/副作用 | 咬合違和感、等 |
前歯の色と形が気になる方
| 治療部位 | 上下前歯のセラミック治療 |
|---|---|
| 年齢/性別 | 40代/女性 |
| 主訴 | 前歯の色と形が気になる |
| 診断名 | 審美障害 |
| 治療内容 | セラミック治療(ミニッシュ) |
| 治療期間 | 6回(2か月) |
| 費用 | 264万円(税込み) |
| リスク/副作用 | 咬合違和感、等 |
前歯の色と形が気になる方
| 術名 | 右上前歯のセラミック治療 |
|---|---|
| 年齢/性別 | 40代/女性 |
| 主訴 | 前歯の色と形が気になる |
| 診断名 | 審美障害 |
| 治療内容 | セラミック治療(ミニッシュ) |
| 治療期間 | 2回(1か月) |
| 費用 | 16.5万円(税込み) |
| リスク/副作用 | 咬合違和感、等 |
県外や遠方からも多くの方が来院
当院のセラミック治療
症例
噛むと歯が痛い方
| 術名 | 上下セラミック治療 |
|---|---|
| 年齢/性別 | 60代/女性 |
| 主訴 | 噛むと歯が痛い |
| 診断名 | 右下奥歯は歯根破折、他は二次カリエス |
| 治療内容 | セラミック治療 |
| 治療期間 | 1年 |
| 費用 | 105.6万円 |
| リスク/副作用 | 割れるリスクがあるので定期健診が必要 |
銀歯が気になる方
| 術名 | 下の歯のセラミック治療 |
|---|---|
| 年齢/性別 | 60代/女性 |
| 主訴 | 銀歯が気になる |
| 診断名 | 審美障害、二次カリエス |
| 治療内容 | セラミック治療 |
| 治療期間 | 半年 |
| 費用 | 48.4万円 |
| リスク/副作用 | 割れるリスクがあるので定期健診が必要 |
むし歯が気になる方
| 術名 | 上の歯のセラミック治療 |
|---|---|
| 年齢/性別 | 60代/女性 |
| 主訴 | むし歯が気になる |
| 診断名 | 審美障害、二次カリエス |
| 治療内容 | セラミック治療 |
| 治療期間 | 半年 |
| 費用 | 82.5万円 |
| リスク/副作用 | 割れるリスクがあるので定期健診が必要 |
むし歯が気になる方
| 術名 | 上の歯のセラミック治療 |
|---|---|
| 年齢/性別 | 60代/女性 |
| 主訴 | むし歯が気になる |
| 診断名 | 審美障害、二次カリエス |
| 治療内容 | セラミック治療 |
| 治療期間 | 半年 |
| 費用 | 62.5万円 |
| リスク/副作用 | 割れるリスクがあるので定期健診が必要 |
幅広い地域から選ばれる矯正歯科
当院のマウスピース矯正 症例
歯並びと噛み合わせが
気になる方(20代)
| 術名 | マウスピース矯正 |
|---|---|
| 年齢/性別 | 20代/女性 |
| 主訴 | 歯並びと、噛み合わせが気になる |
| 診断名 | 歯列不正、審美障害 |
| 治療内容 | マウスピース矯正 |
| 治療期間 | 1年10か月 |
| 費用 | 93.5万円 |
| リスク/副作用 | 後戻りのリスク有 |
歯並びと噛み合わせが
気になる方(50代)
| 術名 | マウスピース矯正 |
|---|---|
| 年齢/性別 | 50代/女性 |
| 主訴 | 歯並びと、噛み合わせが気になる |
| 診断名 | 歯列不正、審美障害 |
| 治療内容 | マウスピース矯正 |
| 治療期間 | 1年半 |
| 費用 | 74.8万円 |
| リスク/副作用 | 後戻りのリスク有 |
芦屋市外からも多くの患者様が来院
当院のインプラント 症例
噛むと歯が痛い方
| 術名 | 左上奥歯、右下奥歯のインプラント治療 |
|---|---|
| 年齢/性別 | 60代/女性 |
| 主訴 | 噛むと歯が痛い |
| 診断名 | 右下奥歯は歯根破折、左上奥歯は欠損 |
| 治療内容 | インプラント治療 |
| 治療期間 | 1年 |
| 費用 | 99万円 |
| リスク/副作用 | 歯周病のリスクがあるので定期健診が必要 |



















