
こんなお悩み、ありませんか?
ホワイトニングをしても、理想の白さにならない
前歯のすき間や、ガタつきを短期間で治したい
歯を大きく削るセラミック治療には抵抗がある
矯正治療をしたいけれど、何年もかける時間は取れない
「歯がボロボロかも…」と気にして、歯医者から足が遠のいている
大切なイベント(結婚式や就職活動)を控え、すぐに印象を変えたい
過去の詰め物や被せ物の変色が目立ってきた

次世代の審美トリートメント
「ミニッシュ」
「綺麗になりたい。でも、歯は削りたくない」そんな願いに、芦屋ひだまり歯科が応えます。
ミニッシュは、歯の健康を維持しながら理想を叶える、“第3の選択肢”です。

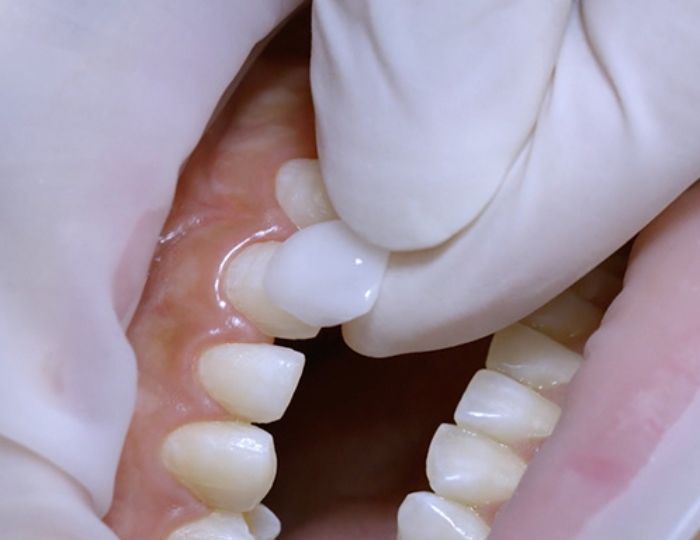
「削る量」は0.1mm〜
歯の寿命を左右する「エナメル質」を最大限に残します。表面を整える程度の極小の処置(0.1mm〜)で済むため、歯を大きく削る従来のセラミック治療に抵抗がある方におすすめです。

天然歯に近い強度
自分の歯と同じような硬さと摩耗率を持つ、高密度セラミックを採用。独自の接着技術で歯と一体化し、食事の違和感もほとんどありません。プラークが付きにくく、清潔さもキープできます。

「黄金比」へのこだわり
型取り不要の3Dスキャンで、お顔立ちに馴染む理想のラインをミリ単位で設計。不自然な白さではなく、光を透かす天然歯のような質感で、あなただけの「オーダーメイド・スマイル」を形にします。
ミニッシュを選ぶ
メリットとデメリット
メリット
天然歯への負担が極めて少ない
最短2週間で理想の仕上がりに
天然歯に近い強度と、汚れが付きにくい親和性
デメリット
衝撃による破損や脱離のリスクがある
お口の状態により適応できない場合がある
自費診療である
芦屋エリア以外からも多数ご来院
当院のミニッシュ 症例
前歯の色が気になる方
| 術名 | 上下前歯のセラミック治療 |
|---|---|
| 年齢/性別 | 60代/男性 |
| 主訴 | 前歯の色が気になる |
| 診断名 | 審美障害 |
| 治療内容 | セラミック治療(ミニッシュ) |
| 治療期間 | 6回(2か月) |
| 費用 | 138.6万円(税込、モニター価格) |
| リスク/副作用 | 咬合違和感、等 |
前歯の色と形が気になる方
| 治療部位 | 上下前歯のセラミック治療 |
|---|---|
| 年齢/性別 | 40代/女性 |
| 主訴 | 前歯の色と形が気になる |
| 診断名 | 審美障害 |
| 治療内容 | セラミック治療(ミニッシュ) |
| 治療期間 | 6回(2か月) |
| 費用 | 264万円(税込み) |
| リスク/副作用 | 咬合違和感、等 |
前歯の色と形が気になる方
| 術名 | 右上前歯のセラミック治療 |
|---|---|
| 年齢/性別 | 40代/女性 |
| 主訴 | 前歯の色と形が気になる |
| 診断名 | 審美障害 |
| 治療内容 | セラミック治療(ミニッシュ) |
| 治療期間 | 2回(1か月) |
| 費用 | 16.5万円(税込み) |
| リスク/副作用 | 咬合違和感、等 |
美しい私になるために まずはプロにご相談ください
お口元の悩み、一人で抱え込まずにまずは聞かせてください。当院では、2026年1月時点で兵庫県内2医院のみとなる「ミニッシュ」の知見を活かし、患者様お一人おひとりに最適なプランをご提案します。阪神芦屋駅から徒歩1分、10代から70代まで世代を問わずリラックスして通っていただける環境です。まずはお気軽にご相談ください。

審美修復治療の比較
(ミニッシュ・ラミネート・
クラウン)
※横にスクロールしてご覧ください。
| 比較項目 | ミニッシュ (Minish) | ラミネートベニア | セラミッククラウン |
|---|---|---|---|
| 歯の調整量(目安) | 0.1mm〜0.3mm程度 | 0.5mm〜0.7mm程度 | 1.2mm〜2.0mm程度 |
| エナメル質の保存 | 最大限に保存可能 | 一部保存可能 | ほとんどが失われる |
| 麻酔の必要性 | 基本的に不要 | 必要になる場合がある | 必須 |
| 適応範囲の傾向 | 軽微な形態・色の修正 | 色の変更や、 | 大きなむし歯の後処置や、歯の向きを大きく変える場合 |
| 歯の寿命への配慮 | 将来のリスクを最小限に | 慎重な設計が必要 | 包括的な検討が必要 |
※数値は症例や個人差により異なります。自由診療のため、詳細はカウンセリングにてご説明いたします。
美しいと思われる口元の
「3つの条件」とは?
ただ「白い」だけでは、本当の美しさとは言えません。芦屋ひだまり歯科矯正クリニックでは、審美治療の基準を以下の3要素に置いています。

1. 光を透過する
「透明感」周囲の歯と調和する「天然美」を目指します。

2. 顔立ちを引き立てる
「黄金比」歯の縦横比、スマイルラインを下唇のカーブと一致させます。

3. 健康的な
「歯肉との調和」精密な適合が歯肉の健康を守ります。
今の美しさと10年後の健康を見据えて
美しさを実現するための「8つのこだわり」

MINIMAL PREP 従来法と比較して
「削る量」が少ない従来のセラミック治療やラミネートベニアでは、接着強度を確保するために健康な歯のエナメル質を一定量削る必要がありました。しかし、一度削った歯は二度と元には戻りません。当院が導入するミニッシュは、歯の表面を整える程度(0.1mm〜)の極小の処置で治療を受けられるため、歯の寿命を縮めるリスクの軽減が期待できます。

SPEEDY CARE デジタルが叶える
「1day審美」芦屋ひだまり歯科矯正クリニックでは、ミニッシュと1dayセラミック(セレック)を巧みに組み合わせ、効率的な治療フローの構築に努めています。口腔内スキャナーの導入により、従来の粘土のような型取りに伴う不快感を軽減することができます。症例や口腔内の状態によりますが、即日のセット(装着)にも対応できる体制を整えており、お忙しい方々のライフスタイルに合わせた精密な審美治療をご提案いたします。

HIGH QUALITY 天然歯を超える
「強度」と「親和性」ミニッシュで使用する素材は、天然のエナメル質とほぼ同等の硬さと熱膨張率を兼ね備えています。これにより、装着後に自分の歯と同じような感覚で食事を楽しむことができ、違和感がほとんどありません。また、表面が非常に滑らかに加工されているため、着色汚れ(ステイン)や細菌の塊であるプラークが付着しにくいという優れた性質を持っています。

STRESS-FREE 麻酔の必要がほとんどない「低刺激」
ミニッシュは、歯の深い層(象牙質)まで削ることがほとんどないため、神経を刺激せず、多くの場合で麻酔を使用せずに施術を行うことができます。また、歯を削る量自体が極めて少ないため、ドリル特有の振動や音によるストレスも最小限に抑えられます。歯科医院に対して苦手意識をお持ちの方や、痛みに敏感な方にこそ受けていただきたい、身体にも心にも優しい治療です。

CUSTOM MADE デジタルスキャンによる
精密なオーダーメイド当院では、お口の中を光でスキャンする3D口腔内スキャナーを導入しています。デジタル化された精密なデータは瞬時に技工所へ共有され、技工士が、あなたのお顔立ちや唇のラインに合わせた最適なデザインをミリ単位で構築します。デジタル技術を駆使することで、手作業では難しかった極限の薄さと、歯ぐきとの境目がわからないほどの高い適合精度を目指します。

PROFESSIONAL 院長による責任を持った
一貫治療審美治療において最も重要なのは、見た目の美しさだけでなく「正しく噛める」という機能性との両立です。当院では、一般歯科から矯正歯科、インプラントまで幅広い専門知見を持つ院長の飛田が、カウンセリングから装着、その後の噛み合わせ調整まで全工程を担当します。

AFTER SUPPORT 充実のアフターケアと
予防体制当院では装着後の美しさと健康を末永く維持していただくために、歯科衛生士と連携したメンテナンスプログラムをご用意しています。ミニッシュは汚れが付きにくい素材ですが、それを支える歯ぐきや周囲の歯の健康があってこそ、その価値は持続します。定期的な検診では、噛み合わせのチェックや専用器具を用いたクリーニングを行い、トラブル防止に努めます。

PROVEN RESULTS 韓国では17年で183,045件
以上の実績ありミニッシュは、審美歯科の先進国である韓国において、17年以上にわたり18万3,045件を超える症例実績※を積み重ねてきました。長年の臨床データに基づいた安全性と、膨大な症例から培われた精緻な技術力は、多くの研鑽に基づいた信頼の証です。兵庫県内でも2医院でしか受けられない治療を、当院では確かなバックボーンのもと提供しています。※「2025年7月時点」
ミニッシュ料金
阪神芦屋駅徒歩1分|
兵庫県芦屋市でミニッシュを
| ミニッシュ | |
|---|---|
| ミニッシュ | 165,000円(税込) |
※適応は歯の状態や噛み合わせ、歯肉の状態により異なる場合があります。詳細は診査のうえご案内いたします。
相談予約はこちら 「ミニッシュ」で、理想の口元へ
お口元のコンプレックスは、デリケートだからこそ周囲に相談しにくいものです。当院では、2026年1月時点で兵庫県内2医院のみが持つ「ミニッシュ」の知見を活かし、患者様お一人おひとりの状態に合わせた適切なプランをご提案いたします。
阪神芦屋駅から徒歩1分。10代から70代まで、幅広い世代の方々にリラックスして通っていただける環境を整えております。まずは、現在のお悩みをお聞かせいただくことから始めてみませんか。

FAQ ミニッシュ治療の
よくある質問
ミニッシュとラミネートベニア、一般的なセラミック治療の違いは何ですか?
最も大きな違いは「天然歯を削る量」にあります。従来のラミネートベニアやセラミック治療は、被せ物の厚みを確保するために健康な歯を一定量削る必要がありました。対してミニッシュは、歯の表面を整える程度(0.1mm〜)の極小の処置で済むため、歯の寿命を左右する「エナメル質」を最大限に残せるのが特徴です。芦屋ひだまり歯科矯正クリニックでは、美しさだけでなく、将来的な歯の健康維持を両立させる選択肢としてミニッシュをご提案しています。
ミニッシュの美しさを長く維持するために、どのようなケアが必要ですか?
ミニッシュに使用される素材は非常に汚れ(プラーク)が付きにくく、変色にも強いのが特徴ですが、その美しさを長く保つためには、芦屋の「かかりつけ医」としての定期的なメインテナンスが欠かせません。当院ではミニッシュ装着後も、歯ぐきの健康状態や噛み合わせのチェックを丁寧に行い、専門的なクリーニングを通じて、あなたの大切な歯を末永くサポートいたします。
ミニッシュの施術は痛いですか?
ミニッシュは歯の最も硬い層であるエナメル質の範囲内で処置を行うため、多くの場合、麻酔なしでもほとんど痛みを感じることなく施術が可能です。従来の歯を大きく削る治療に比べ、術後の「しみる」といった不快感も抑えやすい傾向にあります。芦屋ひだまり歯科矯正クリニックでは、歯科特有の痛みや音が苦手な方にもリラックスして受けていただけるよう配慮しております。痛みの感じ方には個人差があるため、ご不安な方には必要に応じて表面麻酔等も併用いたします。
ミニッシュはどれくらい持ちますか?
ミニッシュに使用される素材は天然歯と同等の強度を持ち、変色しにくいため、適切なメインテナンスを行うことで長期にわたって美しさを維持することが期待できます。ただし、ご自身の歯と同様に、過度な負荷や日々のケア不足は破損や脱離の原因となります。芦屋ひだまり歯科矯正クリニックでは、芦屋の「かかりつけ医」として装着後の定期検診を重視しています。噛み合わせのチェックや専門的なクリーニングを通じて、ミニッシュの状態を末永く良好に保つサポートをいたします。
前歯のすき間や、少しのガタつきもミニッシュで治せますか?
はい、適応となるケースが多くあります。ミニッシュは歯の色調改善だけでなく、隙間(正中離開など)の閉鎖や、軽微な歯の形の修正にも活用されます。ただし、歯の重なりが強い場合や骨格的な問題がある場合は、矯正治療が優先されることがあります。当院では精密な診断を行い、ミニッシュで対応可能か、あるいは他の治療法が適しているかを丁寧にご説明いたします。





